Имплантация All on 6/8

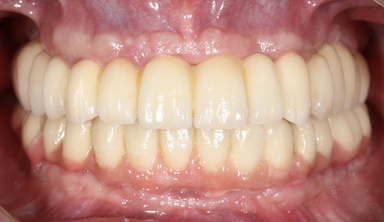
Под данной методикой подразумевается установка 6, реже 8 имплантатов на одну челюсть и изготовление индивидуализированного несъемного протеза.
Данное лечение возможно на всех системах имплантатов, но имеет отличия, вызванные конструктивными особенностями.
Протокол лечения:
- Удаление зубов, при необходимости
- Установка 6-8 имплантатов в определенные положения
- Возможно немедленное изготовление несъемного временного протеза
- Период ожидания (интеграция имплантатов и созревание тканей)
- Постоянное протезирование
Установку более 8 имплантатов на одну челюсть нецелесообразна, а зачастую даже негативно сказывается на выживаемости имплантатов и качестве протеза.
Для кого подходит All on 6/8?
- Полное отсутствие зубов на челюсти — Адентия
- Потенциальная адентия (зубы требуют удаления в следствие наличия кист, разрушения зубов, подвижности зубов)
- Наличие съемного протеза и неудобство его использования
Преимущества методики All on 6/8:
- Максимальный запас прочности имплантатов и конструкции
- Лучшая эстетика среди всех видов протезов на имплантатах
Особенности методики All on 6/8:
- Продолжительный срок лечения
- Большее количество этапов
- Возможная необходимость костной и мягко-тканной пластики
- Высокая стоимость лечения
Видео All on 6/8